View Our DRAMATIC TRANSFORMATIONS
Dental Implants
Before
After
This was a patient from Point Loma.
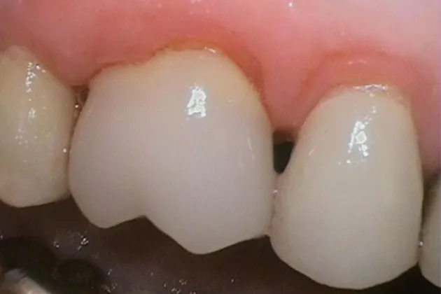
Cerec: Case 1
Before
After
This was a patient from La Mesa with a broken molar with an old filling and decay. It was restored with a single-visit CEREC crown.
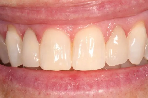
Cerec: Case 2
Before
After
This patient was from San Diego, who had a veneer placed from another clinic, which debonded due to bruxing (clenching and/or grinding) and we replaced it.
Cerec: Case 3
Before
After
This was a patient from Ocean Beach with worn teeth. It was restored with a single-visit CEREC crown.
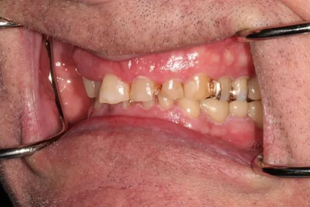
Cerec: Case 4
Before
After
This patient’s upper canines never came in…the spaces between his teeth were the result. As he did not want to undergo surgery and orthodontics, we corrected the spaces between his upper teeth with bonded, all ceramic restorations.
Veneers
Before
After
Patient from Coronado, CA had a chipped front right tooth. Veneer was placed on the tooth to fix the damage.
Veneers: Case 2
Before
After
This was a patient from La Jolla.











